Our general dentistry focuses on preventing, diagnosing, and treating common dental problems. At Mohr Smiles, our team emphasizes the importance of regular dental check-ups. Taking care of your teeth before problems start is really important. It keeps your mouth healthy and sets you up for a lifetime of strong teeth and gums.
We offer thorough dental services, checkups, and cleanings to help you keep your smile healthy. By scheduling regular visits, Dr. Jennifer Mohr can help patients prevent common dental issues, like cavities and gum disease. Detecting problems early allows us to offer less invasive treatments, and can save you time and discomfort.

General Dentistry in Tucson, AZ
Dr. Mohr offers a range of general dental services in our Tucson dental office. Our goal is to provide comprehensive care for all your dental needs with a personalized approach. When you visit with our Tucson dentist regularly, our team gets to know you to better understands your unique risk factors. Visit us for any of the following general dental treatments.
Custom Mouthguards
Custom mouthguards provide superior protection for your teeth, gums, and jaw during sports or nighttime teeth grinding. Mouthguards from your dentist fit better, offer better comfort and shock absorption than store-bought ones. Athletes are less likely to hurt their teeth, and people who grind their teeth can avoid wearing down enamel or straining their jaws. A mouthguard that fits well helps protect your mouth over time and makes things a lot more comfortable.
Emergency Dentistry
The most common dental emergencies we see are broken teeth and pulpitis. Dr. Mohr is always on call for her patients when dental emergencies happen. Our office always finds room in our schedule to see you the same day if you have a true dental emergency. If you are having a life-threatening emergency, call 911.
Family Dentistry
Family dentistry includes dental care for patients of all ages. Dr. Mohr makes it easy for families to manage their oral health in one place. From routine cleanings to restorative and cosmetic treatments, our family dentist in Tucson tailors care to each patient’s needs. Regular visits help prevent problems and catch issues early. Family dentistry makes taking care of everyone’s teeth easier and more convenient.
Bonding and Tooth-colored Fillings
Dental bonding is a simple, less expensive option instead of porcelain veneers. We use a special tooth-colored material to fix small chips, stains, or other minor flaws. It’s a great choice for kids and teenagers, too.
We also use white fillings (called composite resin) to fill a cavity after cleaning out the decay. The biggest benefit is that they match your tooth color and are hard to see.
The old silver fillings can get bigger and smaller with hot and cold temperatures. Over time, this can cause tiny cracks in your tooth and other problems. Bacteria can sneak into these cracks and cause new decay that’s hard to find.
Sometimes, these small cracks can turn into big breaks, which can badly damage the tooth. That’s why many people choose to swap their old silver fillings for stronger, tooth-colored ones.
Laser Dentistry
Laser dentistry is an advanced technology that treats dental issues with precision and minimal discomfort. We use dental lasers for gum disease treatment, cavity removal, teeth whitening, and even soft tissue procedures. Lasers are less invasive than other tools, so they reduce pain, bleeding, and recovery time. This modern approach makes many dental treatments more comfortable and efficient.
Tooth Extractions
Tooth extraction is a last-resort procedure for problematic teeth that can’t be fixed with restorative treatments. It may be necessary for severe decay, infection, overcrowding, or impacted wisdom teeth. Your Tucson dentist will use a numbing agent so you won’t feel pain when they remove your tooth. It usually takes a few days to feel better. Taking it easy and keeping your mouth clean will help you heal up nicely.
Dental Cleanings
Getting your teeth cleaned regularly is one of the best ways to keep your mouth healthy. During a cleaning, our dental team carefully removes plaque and tartar that brushing can’t get rid of. This not only leaves your teeth feeling fresh but also helps stop bigger dental problems before they start.
Patient Review
Dental Sealants
Sealants are thin plastic coatings that protect the grooved tops of your back teeth or molars. These areas can trap food and bacteria, making them more likely to get cavities. We can apply sealants to new molars as soon as they come in. The process is quick, painless, and doesn’t need any drilling or numbing.
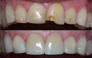
Fillings and Restorations
When cavities or damage happen, fillings help repair your teeth and keep them strong. Dr. Mohr uses modern materials that look natural and last a long time. Whether fixing a small cavity or restoring a worn-down tooth, these treatments help your teeth work properly while keeping your smile looking its best.
Dental Exams
Getting regular dental check-ups is a great way to catch problems before they get worse. During your exam, Dr. Mohr will carefully look at your teeth, gums, and whole mouth to spot any trouble areas. Finding issues early means we can fix them quickly and get you back to good health in no time.
Root Canal Therapy
Sometimes the soft center of a tooth, or pulp, can get infected from deep decay or injury. When this happens, you might need a root canal. During the treatment, we’ll numb the area completely so you won’t feel pain. Your dentist in Tucson will clean out the infected pulp, then seal the tooth to protect it from future problems.
Preventative Care
Keeping your teeth clean between visits is important, but professional cleanings do what brushing can’t. Our team gives your teeth a deep clean to remove built-up plaque and tartar that can cause cavities and gum disease. You’ll leave with that fresh, just-cleaned feeling and the confidence of a healthy mouth.
Early Detection & Second Opinions
Coming in for regular visits helps us notice small issues before they become bigger ones. Things like early cavities or gum disease are much easier to treat when we catch them soon. Using modern technology, we can spot these problems quickly so you get the right care without delay or expensive treatments later on. Dr. Mohr also provides second opinions and referrals from other dentists in Tucson.
Cracked Teeth & Dental Fillings
A cracked or broken tooth is one of the most frequent dental emergencies we see. Many people think it happens because they bit down on something hard, but often the real problem starts with old silver fillings weakening the tooth over time. These silver fillings, called amalgam fillings, have been around since the 1800s. While they were once the standard, better materials are available today.
Even so, many people still have these old silver fillings from when they were kids. Over time, teeth with these fillings often develop small cracks or fractures. The problem is that amalgam fillings are extremely strong. Sometimes so strong that the filling stays intact while the tooth around it starts to break apart.
The metal in amalgam fillings expands and contracts with temperature changes, like when you eat something hot or cold. Your natural tooth doesn’t move the same way. Since teeth are more brittle than metal, they eventually crack under the pressure. The bigger the filling, the higher the chance of cracks forming.
These cracks can cause serious problems. Even tiny cracks let bacteria inside the tooth, making decay much more likely. They also weaken the tooth, which can cause bigger breaks that can be painful. Many people experience “cracked tooth syndrome,” where the tooth feels sensitive or hurts when biting down because the crack has spread deep enough to irritate the nerves.
To prevent further damage, we always recommend replacing old silver fillings with tooth-colored composite fillings. In some cases, if the cracks or fillings are too large, a dental crown might be needed instead. The goal is to protect the tooth before the damage gets worse, avoiding the need for a root canal or even tooth loss.
At our office, we use special magnification and detailed photos to carefully examine teeth with old fillings. This helps us recommend the best treatment to keep your teeth strong and healthy.
Schedule a Dental Visit Today
Maintaining good oral health has many benefits beyond a beautiful smile. It also contributes to your overall well-being. At our general dentistry in Tucson, AZ, we help you understand how important oral care is for your overall health. Visit Mohr Smiles today for all your dental care needs.
You can call us at 520-660-5666 or request an appointment online anytime. We’ll help you achieve a smile that you’ll be proud to show off.
